手機掃碼訪問本站
微信咨詢
中文名稱: 兔抗PTCD3多克隆抗體
英文名稱: Anti-PTCD3 rabbit polyclonal antibody
別 名: pentatricopeptide repeat domain 3; MRP-S39
相關類別: 一抗
儲 存: 冷凍(-20℃)
宿 主: Rabbit
抗 原: PTCD3
反應種屬: Human
標 記 物: Unconjugate
克隆類型: rabbit polyclonal
技術規格
|
Background: |
Mitochondrial RNA-binding protein that has a role in mitochondrial translation. |
|
Applications: |
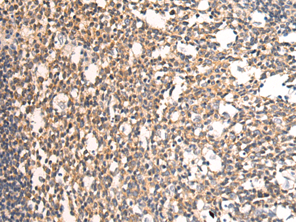
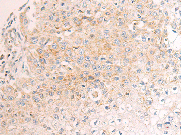
ELISA, WB, IHC |
|
Name of antibody: |
PTCD3 |
|
Immunogen: |
Fusion protein of human PTCD3 |
|
Full name: |
pentatricopeptide repeat domain 3 |
|
Synonyms: |
MRP-S39 |
|
SwissProt: |
Q96EY7 |
|
ELISA Recommended dilution: |
5000-10000 |
|
IHC positive control: |
Human esophagus cancer and Human tonsil |
|
IHC Recommend dilution: |
100-200 |
|
WB Predicted band size: |
79 kDa |
|
WB Positive control: |
K562 cell, BGC-823 Cell, HepG2 cell lysates |
|
WB Recommended dilution: |
500-2000 |


